
Your Mansfield Dentist

Opening Hours
Day | Hours |
---|---|
Monday | 8:30 a.m. - 5:30 p.m. |
Tuesday | 8:30 a.m. - 5:30 p.m. |
Wednesday | 8:30 a.m. - 5:30 p.m. |
Thursday | 8:30 a.m. - 5:30 p.m. |
Friday | 8:30 a.m. - 3:00 p.m. |
Saturday | 8:00 a.m. - 2:00 p.m. |
Sunday | Closed |
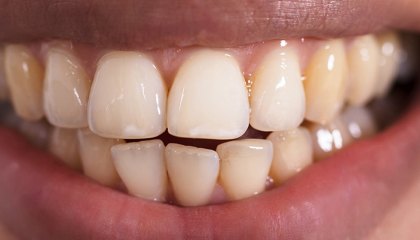
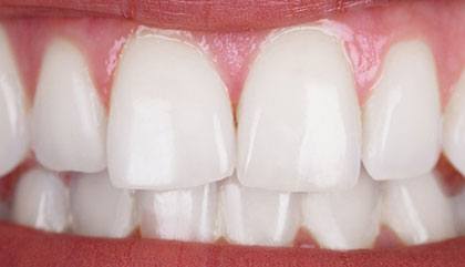
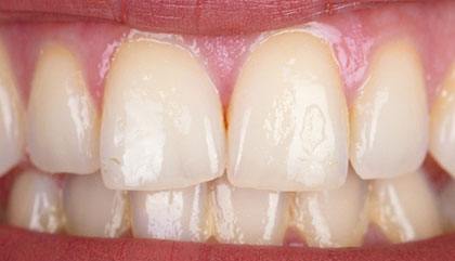
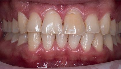
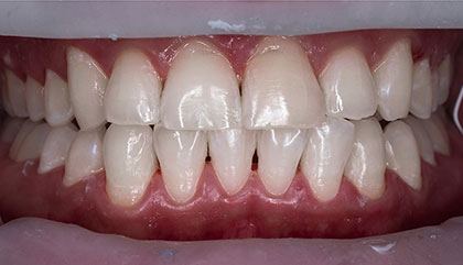
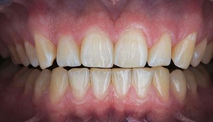
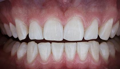
Your Mansfield WHITENING EXPERTS
Frequently Asked Questions
When can I expect this to be finished?
Skip the weeks of waiting! Achieve a brighter smile in a single professional whitening session (Zoom/Boost) using stronger gels and light activation.
Does this whitening option work on teeth with veneers or crowns?
Heads up! Whitening won't affect your veneers or crowns, but your dentist at Today Dental of Mansfield can help you explore solutions for achieving your desired smile shade.
Could you tell me the cost involved?
Free teeth whitening for everyone! At Today Dental of Mansfield, we provide custom whitening trays, gel, and a case to all patients, completely free of charge. We'll even keep you stocked with gel and replace lost trays at no cost. For a quicker whitening boost, explore our in-office professional service, typically priced between $200-$300 (look for holiday specials for additional savings).
Am I a good candidate for teeth whitening?
Exploring your whitening options starts with understanding your teeth! Each smile is unique at Today Dental, and so is its suitability for whitening. We factor in your current teeth condition, oral health, and desired results before recommending treatment. While typically effective for stains caused by age, food/drinks, and smoking, whitening might not be suitable for untreated cavities, gum disease, or other dental issues.
Is it safe for me to whiten my teeth at my age?
Consider waiting on teeth whitening. Teeth whitening is generally not recommended for individuals under 16 at Today Dental. This is because their teeth are still developing and more sensitive. We can help you decide if waiting until you're older is best or explore alternative options for achieving a brighter smile later.