Crowns...

Absolutely
Experience Matters.
0
Crowns cemented... and counting ;)
s

Your Mansfield Dentist

Owners of Today Dental

Today Dental Crowley

Pain free crowns!

As your Mansfield dentist, a pain-free and comfortable experience is our highest priority. Come see us to learn more about our range of sedation options, encompassing IV sedation, conscious sedation, and nitrous oxide.

Experienced team

The perfect dental crown is crafted by our dentist who has spent years in Continuing Education courses. We also collaborate with local labs who use the highest quality materials. At Today Dental of Mansfield we hold this wealth of expertise in high regard.

Conservative approach

Prioritizing conservative dentistry is a key focus for us. Our objective is to protect the integrity of natural tooth structure through the utilization of minimally invasive techniques.

Crowns designed for strength

Whether it’s a Zirconia, porcelain, and gold crowns we’ve got you covered. Our crowns are crafted for long-lasting durability.

Fewer appointments

By incorporating cutting-edge technology we’ve minimized appointments for efficiency. Get that precious family time back instead of sitting in a dental chair.

More money in your pocket!

Your Mansfield dentist prioritizes cost-effective solutions, finding more efficient methods to maintain affordable dental treatments. This commitment leads to an outstanding dental experience that fits within your budget.

Strongest crowns

Feel confident smiling again! We never compromise on quality, using the latest technology and products available. Zirconia, porcelain, and gold crowns are available to fit your needs.

Experienced dentists

Passionate about form, function and beauty! Extensive hours in Continuing Education courses and working with local labs = the perfect dental crown. At Today Dental of Mansfield, we value this wealth of expertise.

Saving money

At Today Dental of Mansfield, we optimize our crowns for efficiency, allowing us to keep dental treatment affordable. This guarantees a remarkable dental experience that aligns with your budget.

Conservative treatment

We prioritize conservative dentistry. Our goal is to preserve natural tooth structure through minimally invasive techniques. Our crown treatment focuses on saving tooth structure so you have that tooth for decades to come!

Fewer crown appointments

We simplify the crown procedure with cutting-edge technology, reducing appointments which increases efficiency. Spend more time with your family then at the dental office.

Pain free treatment

Sedation options at Today Dental of Saginaw make for an amazing, painless experience. Call us today to inquire about IV sedation, conscious sedation and nitrous oxide.

Great Crowns are Backed by Great Warranties

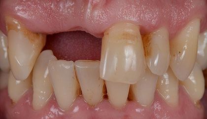
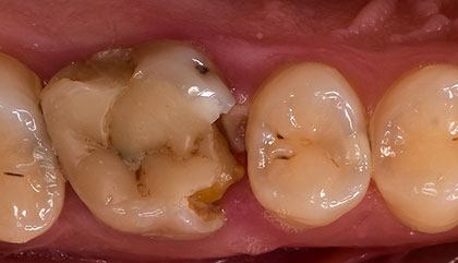
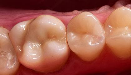
before
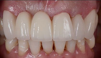
after
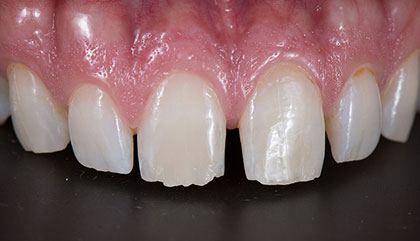
before
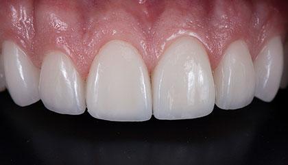
after
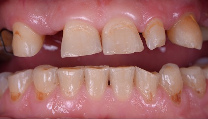
before
after
before
after

Opening Hours

DayHours
Monday8:30 a.m. - 5:30 p.m.
Tuesday8:30 a.m. - 5:30 p.m.
Wednesday8:30 a.m. - 5:30 p.m.
Thursday8:30 a.m. - 5:30 p.m.
Friday8:30 a.m. - 3:00 p.m.
Saturday8:00 a.m. - 2:00 p.m.
SundayClosed

YOUR Mansfield TEAM

Mansfield Office
Mansfield Office
Mansfield Office
Mansfield Office
Mansfield Office
Mansfield Office
Mansfield Office
Mansfield Office
Mansfield Office
Mansfield Office
MD
Mike D.

Everything went perfectly. I was early and had no wait to get into exam room. Hygienist was polite and very efficient. Dentist was equally so. This was just what I was hoping would happen and it did. Will return. This is what a doctor's office should strive to equal.

JG
Jasmine G.

100% recommend! Dr. Hubbard & lovely staff always attended me with great care. Today was my last appointment for Invisalign and I am beyond happy with my results. Highly encourage to do Invisalign under care of an orthodontist for sure!

TD
Tori D.

So far it's been a good experience! The dental work I'm having done takes time it's a timely process and once it's complete I'll be happy to give another review! The staff and receptionist are very kind and friendly! Hope everyone has a great experience!

DF
Daun F.

Today was our first time at Today Dental and it was such a pleasant experience. Everyone was so nice and accommodating and my daughter felt comfortable. She loved watching the TV while she got her exam and cleaning. We will definitely be back!!

You’ve made it this far. . .

FREE Teeth Whitening

Just ask at your first visit

Your Mansfield CROWN & Bridge EXPERTS

Frequently Asked Questions

Curious about the timeline for crowns and bridges?

Dental crowns and bridges typically require two visits spaced two to three weeks apart. However, in emergencies like a broken front tooth, crowns can be completed within two days. While some clinics offer same-day crowns, our experience suggests superior results come from crowns crafted in our on-site lab using high-temperature techniques. At Today Dental of Mansfield, prioritizing long-term functionality and optimal patient outcomes is our top priority.

Worried about the cost of crowns?

Dental crowns are often more cost-effective compared to alternatives like root canals with crowns, implants, or dentures. We understand the importance of affordability. Today Dental offers various options to fit your budget, including an in-house discount plan and flexible payment plans. Additionally, crown pricing varies based on location in the mouth and material chosen, like porcelain, zirconia, metal, or a combination. Cash-paying patients can expect costs within the range of $900-$1,400, while those with dental insurance may benefit from reduced costs.

Wondering what to expect during your first appointment?

Today Dental of Mansfield prioritizes efficiency. Upon arrival, you'll be warmly welcomed and escorted to the treatment area. To assess your oral health, we'll take diagnostic images, including X-rays and digital photographs. The dentist will then perform a thorough examination and ask about any potential sensitivity or discomfort. If decay or fractures are identified, crown treatment might be recommended. In most cases, we strive to initiate treatment on the same day, reflecting our commitment to prompt and efficient care. Following tooth preparation for the crown, a temporary restoration will be placed by the dental hygienist. An impression of the prepared tooth will be taken, and you'll return in 2-3 weeks for permanent crown placement.

Confused about dental bridges and how they work?

Similar to a crown, a dental bridge addresses the functional and aesthetic concerns of missing teeth. It comprises two or more crowns cemented to the teeth flanking the gap (abutment teeth) and one or more artificial teeth (pontics) filling the space between them. The abutment teeth act as anchors, while the pontic effectively restores the appearance and functionality of the missing tooth/teeth. Bridges can be made from various materials, including porcelain, zirconia, metal, or a combination, and they are securely attached to natural teeth for optimal stability. While dental bridges offer a convenient and rapid solution for replacing one or two missing teeth, they might not be suitable for restoring numerous missing teeth. A dental professional can offer further guidance in such cases.

Unsure if a dental crown is right for you?

At Today Dental of Mansfield, we prioritize conservative interventions, aiming to preserve as much healthy tooth structure as possible. We believe that natural teeth provide unmatched functionality and durability. So, why consider a dental crown? Firstly, crowns act as tooth preservers, safeguarding existing tooth structure compared to alternatives like implants or dentures that necessitate tooth extraction. Additionally, crowns offer a straightforward and efficient solution to reinforce weakened, cracked, or decayed teeth. Furthermore, they can enhance both the aesthetics and functionality of your smile.