We Feel You…

Dentists Have Fillings Too

Tooth Colored Filling to Match Your Beautiful Smile!

s

Your Mansfield Dentist

Owners of Today Dental

Today Dental Crowley

Beautiful dental fillings

Feel at ease at Today Dental, where our expertly trained dentist has pursued advanced Continuing Education to master the art of pain-free treatments. Your comfort remains our utmost priority.

Dental fillings designed to last

Prioritizing your time in the dental chair, we at Mansfield employ advanced techniques and cutting-edge equipment for efficient and high-quality dental fillings, ensuring a pleasant visit.

Experienced dentist and team

At Today Dental of Mansfield, experience takes center stage. Our dentist’s extensive training guarantees your comfort, along with clear and concise treatment plans.

Preserving natural structure

Facing the choice between a crown and a filling? At Today Dental in Mansfield, we champion conservative dentistry. We commit to our patients to avoid over-diagnosing, treating only what’s necessary and opting for fillings before crowns whenever feasible.

Stress-free dental visit

Acknowledging the anxiety associated with dentistry, Today Dental in Mansfield offers a range of sedation options (IV, Conscious, & Nitrous), transforming your dental fillings experience from dread to relaxation.

Caring Dentistry

Experience dentistry with a compassionate touch at your Mansfield dentist. We consider our patients as neighbors, providing gentle dental fillings that set the standard.

Fast dental fillings

I love being in a dental chair… said no one ever. Our use of state-of-the-art techniques and equipment in Mansfield will have you out in a jiffy.

Saving tooth structure!

Why pay for a crown when you could have gotten a filling? At Today Dental in Mansfield we are conservative practitioners! Our Promise to our patients: We will never over-diagnose…aka we’ll only treat what’s needed!

Stress-free dental fillings

Fortunately for you, we’ve been there, and understand dentistry can be stressful. We have multiple sedation options (IV, Conscious & Nitrous) for the anxious patient. You no longer have to say “I hate going to the dentist”

Experienced Dental Professionals

Our Today Dental of Mansfield dentist has years of experience and knows how to make you comfortable, present clean and precise treatment plans and provide conservative treatment.

Painless treatment

No one!. Sleep well knowing you’ll be taken care of at Toda Dental. Our doctor has many hours of Continuing Education course training to be more than proficient, but an expert at providing pain-free treatment

Gentle dentists

Discover a different kind of dental care at your local Mansfield dentist. We think of our patients as neighbors and treat them as such. Our dental fillings will always be an industry leading example of the way dentistry should be done.

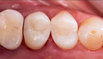
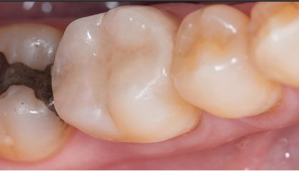
The Art of Dental Fillings

before
after
before
after
before
after
before
after

Opening Hours

DayHours
Monday8:30 a.m. - 5:30 p.m.
Tuesday8:30 a.m. - 5:30 p.m.
Wednesday8:30 a.m. - 5:30 p.m.
Thursday8:30 a.m. - 5:30 p.m.
Friday8:30 a.m. - 3:00 p.m.
Saturday8:00 a.m. - 2:00 p.m.
SundayClosed

YOUR Mansfield TEAM

Mansfield Office
Mansfield Office
Mansfield Office
Mansfield Office
Mansfield Office
Mansfield Office
Mansfield Office
Mansfield Office
Mansfield Office
Mansfield Office
MD
Mike D.

Everything went perfectly. I was early and had no wait to get into exam room. Hygienist was polite and very efficient. Dentist was equally so. This was just what I was hoping would happen and it did. Will return. This is what a doctor's office should strive to equal.

JG
Jasmine G.

100% recommend! Dr. Hubbard & lovely staff always attended me with great care. Today was my last appointment for Invisalign and I am beyond happy with my results. Highly encourage to do Invisalign under care of an orthodontist for sure!

TD
Tori D.

So far it's been a good experience! The dental work I'm having done takes time it's a timely process and once it's complete I'll be happy to give another review! The staff and receptionist are very kind and friendly! Hope everyone has a great experience!

DF
Daun F.

Today was our first time at Today Dental and it was such a pleasant experience. Everyone was so nice and accommodating and my daughter felt comfortable. She loved watching the TV while she got her exam and cleaning. We will definitely be back!!

You’ve made it this far. . .

FREE Teeth Whitening

Just ask at your first visit

Your Mansfield DENTAL FILLING EXPERTS

Frequently Asked Questions

How long does a dental filling procedure take?

After the initial exam, dental fillings typically take around 15-30 minutes per quadrant (e.g., upper right quadrant). At Today Dental of Mansfield, whenever possible, we prioritize completing all necessary fillings in a single visit to save you time and money.

What is the cost of a dental filling?

Fillings are generally the most cost-effective way to restore a tooth's natural form, function, and aesthetics. The cost depends on two main factors:

  • Location: Fillings on teeth further back in the mouth tend to be more expensive than those on front teeth.
  • Number of Surfaces Filled: The more surfaces (out of six) requiring filling due to decay or fracture, the higher the cost.

In most cases, dental insurance covers 80% to 100% of the cost. If you don't have dental insurance, we offer an in-office discount plan (CareDent) for insurance-like pricing.

What can I expect at my first filling appointment?

In some cases, the dentist might administer anesthesia (numbing) before the procedure. For shallow decay, anesthesia might not be necessary. The dentist will then prepare the tooth using a handpiece (drill) to remove decay and fractures. Subsequently, the tooth will be filled with a tooth-colored composite resin hardened using light activation. Your bite will be adjusted, the filling will be polished, and the procedure is complete.

Why should I get a dental filling?

At Today Dental of Mansfield, we prioritize conservative dentistry, aiming to preserve as much natural tooth structure as possible. Whenever feasible, dental fillings offer a more conservative and cost-effective approach compared to crowns. Rest assured, our dentists will only recommend treatments absolutely necessary, treating all patients like family with unwavering commitment to quality and ethical practices.

Do you repair existing fillings?

Yes! Whenever possible, we prioritize a conservative approach, opting for repairs over complete replacements. However, if decay is present, complete removal of the existing filling might be necessary. We will always strive to preserve any previous dental work as long as it doesn't compromise function or durability.